Beyin tümörü teşhisi, hastalar ve yakınları için kaygı verici bir durum olabilir. Ancak günümüzde gelişen cerrahi teknikler ve teknolojik altyapı sayesinde bu süreç, çok daha güvenli ve başarılı bir şekilde yönetilebilmektedir. Bu yazıda, beyin tümörü ameliyatı hakkında bilinmesi gereken yedi önemli noktayı sizler için derledim.
-
Beyin Tümörü Ameliyatının Amacı Nedir?
Beyin tümörü ameliyatı tümörün tamamen ya da kısmen çıkarılması amacıyla gerçekleştirilir. Bu sayede tümörün büyümesi kontrol altına alınırken, hastanın yaşam kalitesi de artırılır. Bazı durumlarda sadece biyopsi almak veya beyin basıncını azaltmak için de cerrahi gerekebilir.
-
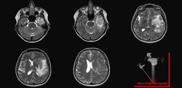
Ameliyat Öncesi Hazırlık ve Değerlendirme
Ameliyat öncesinde ileri görüntüleme yöntemleri (MR, BT) ve nörolojik muayeneler ile tümörün tipi, yeri ve boyutu belirlenir. Aynı zamanda hastanın genel sağlık durumu detaylı olarak değerlendirilir. Bu süreç, ameliyat planlamasının temelini oluşturur.
-
Gelişmiş Cerrahi Teknolojiler
Günümüzde cerrahi güvenliği artıran pek çok teknolojik yenilik mevcuttur. Nöronavigasyon, intraoperatif MR (iMRI) ve robotik cerrahi sistemleri (örneğin ROSA) sayesinde cerrah, tümörü daha net görebilir ve sağlıklı dokulara zarar vermeden müdahale edebilir. Bazı merkezlerde ameliyat sırasında hızlı genetik analizler de yapılabilmektedir.
-
Minimal İnvaziv Yaklaşımlar
Klasik açık ameliyatlara alternatif olarak geliştirilen minimal invaziv cerrahi teknikler, küçük kesilerle büyük işler başarabilmektedir. Bu teknikler, iyileşme sürecini hızlandırır, hastanede kalış süresini azaltır ve estetik açıdan avantaj sağlar.
-
Ameliyat Sonrası İyileşme Süreci
Hastanede kalış süresi genellikle 3 ila 10 gün arasında değişir. Tam iyileşme süreci tümörün tipi ve ameliyatın kapsamına göre birkaç haftadan birkaç aya kadar uzayabilir. İlk günlerde yorgunluk, baş ağrısı ve halsizlik gibi belirtiler normal kabul edilir.
-
Olası Komplikasyonlar
Her cerrahi işlemde olduğu gibi, beyin tümörü ameliyatı sonrasında da bazı riskler mevcuttur. Bunlar arasında enfeksiyon, kanama, nörolojik bozukluklar veya geçici hafıza problemleri yer alabilir. Bu nedenle ameliyat sonrası düzenli kontroller büyük önem taşır.
-
Uzun Vadeli Takip ve Destek
Ameliyat sonrası süreç, tedavinin sadece bir parçasıdır. Gerekli durumlarda radyoterapi, kemoterapi veya hedefe yönelik tedaviler uygulanabilir. Ayrıca düzenli beyin görüntülemeleri ve nörolojik takiplerle hastalığın seyri kontrol altında tutulmalıdır.
Beyin tümörü ameliyatı deneyimli bir ekip ve gelişmiş teknolojilerle oldukça başarılı bir şekilde gerçekleştirilebilmektedir. Bu süreçte doğru bilgiye ulaşmak, uzman görüşü almak ve tedavi planını bireyselleştirmek hayati önem taşır.

Bağımsız, yeni nesil, tarafsız haber ve haberciliğin en üst noktasında yer alan habergezgini.com ile Türkiye’nin ve dünyanın gündemini takip edebilirsiniz.
